#
Digital Card

Call us

+91 9820229422

Monday to Saturday

10am to 1pm, 6pm to 9pm

Email Us

anand12121988@gmail.com

#

Revision Knee & Hip Replacement

Total Knee Joint Replacement (TKR) revision surgery is an orthopaedic surgical procedure in which the prosthetic pieces(s) of the previous TKR surgery are removed. New prosthetic pieces are then replaced within the knee joint. The components consist of the femoral condyle component, the tibial plateau component, the polyethylene spacer and the patella component. All or some of these may be replaced depending on the reason for replacement.

Revisional TKR surgery is a more complicated operation requiring longer time in theater and rehabilitation is slower and takes a more cautious approach.

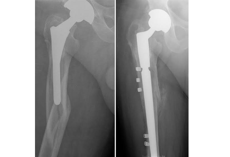
A revision hip replacement surgery is a surgical procedure to replace a worn out or failed hip replacement implant. Hip replacements are among the most common procedures performed by orthopedic surgeons. This surgery is generally very successful and has excellent results in the vast majority of patients.

Revision Knee & Hip Replacement
Revision Knee & Hip Replacement
Revision Knee & Hip Replacement