#
Digital Card

Call us

+91 9820229422

Monday to Saturday

10am to 1pm, 6pm to 9pm

Email Us

anand12121988@gmail.com

#

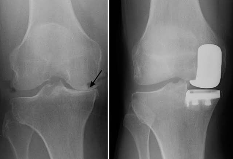
Unicompartmental (Partial) Knee Replacement

In knee osteoarthritis, the cartilage protecting the bones of the knee slowly wears away. This can occur throughout the knee joint or just in a single area of the knee.

The knee is divided into three major compartments:

  • Medial compartment (the inside part of the knee)
  • Lateral compartment (the outside part of the knee)
  • Patellofemoral compartment (the front of the knee between the kneecap and thighbone)

Advanced osteoarthritis that is limited to a single compartment may be treated with a unicompartmental knee replacement. During this procedure, the damaged compartment is replaced with metal and plastic. The healthy cartilage and bone, as well as all of the ligaments, are preserved.

Advantages and Disadvantages of Partial Knee Replacement

Multiple studies show that most patients who are appropriate candidates for unicompartmental knee replacement have good results with this procedure.

Partial Knee Replacement

The advantages of partial knee replacement over total knee replacement include:

  • Quicker recovery
  • Less pain after surgery
  • Less blood loss
  • Lower risk of infection and blood clots

Also, because the bone, cartilage, and ligaments in the healthy parts of the knee are preserved, many patients report that a unicompartmental knee replacement feels more natural than a total knee replacement. A unicompartmental knee may also bend better.

The disadvantage of partial knee replacement compared with total knee replacement is the potential need for more surgery. For example, a total knee replacement may be necessary in the future if arthritis develops in the parts of the knee that have not been replaced. The need for additional surgery is slightly higher for partial knee replacement than for total knee replacement.

Candidates for Surgery

If your osteoarthritis has advanced and nonsurgical treatment options are no longer relieving your symptoms, your doctor may recommend knee replacement surgery.

To be a candidate for unicompartmental knee replacement, your arthritis must be limited to one compartment of your knee.

If you have any of the following characteristics, you may not be eligible for the procedure:

  • Inflammatory arthritis
  • Significant knee stiffness
  • Ligament damage
Partial Knee Replacement