#
Digital Card

Call us

+91 9820229422

Monday to Saturday

10am to 1pm, 6pm to 9pm

Email Us

anand12121988@gmail.com

#

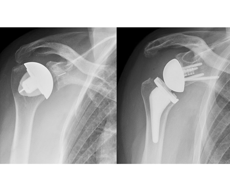
Total & Reverse Shoulder Replacement

Reverse Shoulder Arthroplasty is a type of shoulder arthroplasty that uses a convex glenoid hemispheric ball and a concave humerus articulating cup to reconstruct the glenohumeral joint.

The center of rotation is moved inferiorly and medialized which allows the deltoid muscle to act on a longer fulcrum and have more mechanical advantage.

Reverse Shoulder Arthroplasty is indicated for conditions such as rotator cuff tear arthropathy, comminuted 4-part proximal humerus fractures and prior failed shoulder arthroplasty.

Total Shoulder Replacement

A conventional shoulder replacement device mimics the normal anatomy of the shoulder: a plastic "cup" is fitted into the shoulder socket (glenoid), and a metal "ball" is attached to the top of the upper arm bone (humerus). In a reverse total shoulder replacement, the socket and metal ball are switched. The metal ball is fixed to the socket and the plastic cup is fixed to the upper end of the humerus.

Reverse Total Shoulder Replacement

A reverse total shoulder replacement works better for people with cuff tear arthropathy because it relies on different muscles to move the arm. In a healthy shoulder, the rotator cuff muscles help position and power the arm during range of motion. A conventional replacement device also uses the rotator cuff muscles to function properly. In a patient with a large rotator cuff tear and cuff tear arthropathy, these muscles no longer function. The reverse total shoulder replacement relies on the deltoid muscle, instead of the rotator cuff, to power and position the arm.

Reverse Total Shoulder Replacement